「歯石取りはどのくらいのペースでやると良いのでしょうか?」
これは、歯科医院でよくいただく質問の一つです。
一見、歯石取りを一年に一度だけまとめて行えば、費用も手間も少なくて済みそうに思えますが、実はその方法には落とし穴があります。今回は、歯石取りの適切な頻度と、定期的なケアの重要性について詳しくご説明します。
■ 歯石取りの目安は人によって違う
まず、結論から言うと、歯石取りの適切な頻度は人によって異なります。
- お口の清掃状態が良い方:一年に1回〜2回程度
- 清掃状態が良くない方:一年に3回、もしくはそれ以上
このように、歯石の付きやすさや歯磨きの習慣によって、理想的な来院ペースは変わってきます。
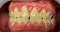
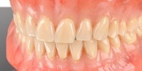
清掃状態の良い方は、普段のブラッシングで汚れのコントロールができており、歯石が付きにくい状態を保っています。しかし、清掃状態が良くない方は、プラーク(歯垢)が残りやすく、それが硬化して歯石となるため、より短い間隔での歯石取りが必要になります。

■ 一年に一回まとめてはNG?その理由
「一年に一回まとめて取る方が経済的では?」というご意見もあります。
確かに一見効率的に見えますが、実際には経済的にも口腔衛生的にも好ましくありません。
その理由の一つは、歯石の量です。
清掃状態の悪い方は、来院時にはすでに歯石が大量に付いていることが多く、一度の施術では取り切れない場合があります。結果として、複数回の来院が必要になり、時間も費用も余計にかかってしまうのです。
さらに、もう一つの重要な理由は、歯周病の進行リスクです。
歯石が長期間付着したままの状態は、歯周病菌にとって理想的な環境をつくります。
歯周病は「汚れが付いたままの期間が長ければ長いほど進行しやすい」病気です。
つまり、一年に一回まとめて取るよりも、短い間隔でこまめに取る方が、歯周病予防の観点からも圧倒的に有利なのです。

■ 半年に一回の歯石取りで何が違うのか
たとえば、同じ清掃状態の方が二人いたとします。
Aさんは一年に一回歯石取りをし、Bさんは半年に一回歯石取りをします。
この二人を比べると、Aさんの口の中は後半の半年間ずっと汚れが付着した状態が続くのに対し、Bさんは半年ごとにリセットされるため、歯周病の発症リスクが半分以下に抑えられます。
これは「歯石を取る量」ではなく、「汚れが付着している期間の長さ」が問題なのです。
歯周病は一度罹患してしまうと元には戻せない病気です。 発症させないことが大事なのです。
ですから、 短い間隔で定期的にお手入れをしておくことが、歯周病予防の最大のポイントになります。

■ 歯石取りは“まとめて掃除”ではなく“定期清掃”
歯石取りは、いわばお口の定期清掃です。
「たまってから一気に掃除する」という考え方ではなく、「汚れがたまらないように定期的に掃除する」ことが大切です。
この考え方は、日々の歯磨きと同じです。
「1週間歯を磨かずにおいて、週末にまとめて磨けばいい」と考える人はいません。 虫歯も発症してしまえば削らずに治すことはできませんから、 発症させないように毎日歯磨きをしますよね。
それと同じように、歯石取りも“定期的に少しずつ”が最も効果的なのです。
また、歯石は自分では取ることができません。歯ブラシでは落とせず、専門的な器具でなければ除去できないため、歯科医院での定期的なクリーニングが必要です。
■ 定期的な歯石取りがもたらす3つのメリット
- 歯周病・口臭の予防
歯石の表面はざらついており、細菌が付着しやすい構造をしています。これを放置すると、歯ぐきの腫れや出血、口臭の原因になります。 - 虫歯の早期発見につながる
定期的にクリーニングに通うことで、歯科医師や歯科衛生士が口腔内をチェックします。小さな虫歯や詰め物の不具合も早期に見つけられます。 - 結果的に経済的
一見、来院回数を減らす方が節約に見えますが、歯周病や虫歯が進行してからの治療は時間も費用もかかります。予防のための定期的ケアの方が、長期的には経済的です。

■ まとめ:汚れをためない“期間管理”が歯の寿命を延ばす
歯石取りの目的は「汚れを落とすこと」だけでなく、
「汚れが付いている期間を短く保つこと」にあります。
清掃状態の良い方であれば一年に1回〜2回、清掃状態の良くない方は3回以上を目安に、“汚れをためない間隔”でのメンテナンスを心がけましょう。
歯周病は静かに進行する病気ですが、日頃の定期清掃によって確実に予防できます。
歯石をため込まず、定期的にクリーニングすることが、あなたの歯と歯ぐきを長く健康に保つ最善の方法です。
























