こんにちは
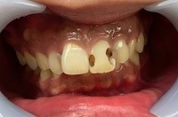
虫歯になると、虫歯になったところを削って取り除き、症状に応じた治療材料を使って、詰めたり被せたりして治します。
治療を終えたら、もう虫歯にならないと思っていらっしゃる方もおられるようですが、油断すると虫歯が再発することも多いです。
このように一度治した歯に再発する虫歯を二次カリエス、もしくは二次う蝕と言います。
治療を終えたはずの歯にどうして虫歯が再発するのでしょうか。

今回は、虫歯の再発についてお話しします。
〇虫歯の再発の原因
すべての医療の理想は「病んでしまう前の状態に戻す」ことなのですが 現実にはそうできないことが多いのです。
例えば、歯を削ってしまえば「元の歯とは違う素材」を使って修復するわけで 虫歯になる前と全く同じ扱いで済むはずがありません。
そこには「元とは違う素材」特有の事情があります。

そもそも、最初に虫歯になったことにも原因があるはずなので そこが改善されないと何度でもいろいろな歯が虫歯になってしまうわけです。
さて、ここでは一度治した歯に虫歯ができてしまうパターンをご紹介します。
●詰め物や被せ物の段差
詰め物や被せ物を作るとき、詰め物や被せ物の種類によって削り方を変えるなどして、歯と段差ができるだけ生じないように気をつけて作ります。
しかし、どれだけ精密に作ったとしても、わずかな段差が生じるのは避けられません。
虫歯の原因である虫歯菌の潜むプラークは、こうした段差を好むので、詰め物や被せ物の段差はプラークの温床となりやすく、虫歯の再発する原因となってしまいます。

●セメントの劣化
詰め物や被せ物をつけるとき、歯の表面にセメント(接着剤)を塗ります。
詰め物や被せ物の寿命と比べると、セメントの寿命は短く、時間の経過とともに、少しずつ溶け出します。
セメントが溶け出した部分には、段差が生じてしまいます。
この段差もプラークの温床となるので、セメントの劣化も虫歯の再発原因のひとつです。
●コンポジットレジンの劣化
小さな虫歯の治療では、現在、コンポジットレジンというプラスチック材料がよく使われています。
コンポジットレジンは、ベースレジンとフィラーという粉末成分を組み合わせて作られているのですが、時間が経つとフィラーが少しずつ取れていき、表面に目に見えないような穴が開きます。
この部分もプラークがつきやすく、やはり虫歯が再発しやすくなります。
〇再発した虫歯の治療法
残念ながら、再発した虫歯の治療では、さらに歯を大きく削ることになります。
●コンポジットレジンで治した歯の場合
コンポジットレジンの周囲にごく小さな虫歯ができている程度であれば、コンポジットレジンを取り除いて、虫歯を削り、再びコンポジットレジンで治します。
コンポジットレジンの周囲の虫歯が比較的大きい場合は、金属製のインレーという詰め物にしたり、大きく削って被せ物にすることもあります。
●インレーで治した歯の場合
インレーなどの詰め物の周囲に虫歯が再発した場合、その範囲が限られているなら、インレーを外して、虫歯部分を覆うようにインレーを作り直します。
インレーの縁だけでなく、内部にも虫歯が広がっていたら、インレーでの対応は難しいので、さらに広く削って、被せ物にします。

●被せ物で治した歯の場合
銀歯の縁などに虫歯が再発した程度なら、銀歯を外して虫歯を削り、再び銀歯で治します。
ところが、銀歯の内部で虫歯が広がっている場合や、銀歯が外れるほど大きな虫歯が再発した場合はそうはいきません。
根の治療をしてから被せ物をつける治療になりますので、治療期間も治療費も大きくなります。
虫歯が歯根の下あたりまで進んだ場合、抜歯しなければならないこともあります。
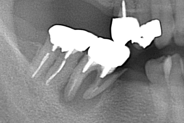
●土台を入れて被せた歯の場合
大きな虫歯の治療では、歯根にコアという土台をたててから被せ物を入れます。
このような歯に虫歯が再発した場合、歯根の周囲に膿がたまったりしていることがあります。
膿がたまっていたら、コアを取り除いてから根の治療を行い、被せ物を入れて治します。
コアを取り除いたのち、歯根にヒビが見つかった場合は抜歯になることもあります。

〇虫歯の再発を防ぐ方法
では、虫歯が再発しないようにするにはどうすればいいのでしょうか。
●初期虫歯は削らない
初期虫歯は、実は唾液のミネラル成分が歯に戻ることで、再石灰化という自然治癒が期待できます。
削って治すと、段差が生じて虫歯が再発しますが、再石灰化により自然に治った虫歯はそうではありません。
初期虫歯は削って治すのではなく、フッ素や歯のクリーニングなどを通して、再石灰化による自然治癒を促進しましょう。
●より丁寧な歯磨き
詰め物や被せ物と歯との段差はプラークがつきやすく、虫歯の再発原因となります。
そこで、日常の歯磨きで、この段差部分を意識して、より丁寧に歯ブラシ、歯間ブラシ、デンタルフロスを使って、歯を磨き、プラークが残ったままにならないようにしましょう。
●プラークが付きにくい材料で治す
保険診療で使っているコンポジットレジンや金属材料にはプラークが付着しやすい傾向があります。
一方、自費診療のセラミックや金合金はプラークがつきにくく、保険診療の歯科材料と比べるととても衛生的です。
そこで、虫歯治療で使う材料をセラミックや金合金にするというのも、虫歯の再発を防ぐ有効な方法です。
●定期的に歯科医院を受診する
神経を取り除いた歯は特にそうなのですが、虫歯が再発しても初期段階ではなかなか気が付かないものです。
虫歯を痛みなどの自覚症状がない小さいうちに見つけて治すためには、歯科医院で見つけてもらうのが一番です。
そこで、定期的に歯科医院を受診し、虫歯の有無をチェックしてもらい、同時に歯のクリーニングを受けるようにしましょう。
●フッ化物を日常的に使う
フッ素は、虫歯予防効果がとても高いことで知られています。
フッ素の利用法には、日常の歯磨きで高濃度タイプの歯磨き粉を使って歯を磨く、定期的にフッ素の洗口液を使う、歯科医院で歯にフッ素を塗ってもらうなどの方法があります。
こうして、歯にフッ素を作用させて虫歯を予防しましょう。
●食生活の改善
初期虫歯のところで、再石灰化による自然治癒についてお話ししました。
再石灰化の反対は、脱灰という歯からミネラル成分が溶け出す状態です。
再石灰化がうまくいくために、脱灰しないようにする必要があります。
脱灰は、虫歯菌の作り出す酸の働きで歯が溶け出すことで生じます。
甘いものを食べたり飲んだりする回数や量を減らし、ダラダラ食べないメリハリのある食生活を送ることで、脱灰が進まないようにしましょう。
〇まとめ
今回は、虫歯治療後に再発する虫歯(二次カリエス)についてお話ししました。
虫歯が再発しない強い歯は、矛盾した話に思われるかもしれませんが、一度も虫歯になったことのない、虫歯の治療歴のない歯です。
一度治療を受けた歯は
①詰め物や被せ物の段差
②セメントの劣化
③コンポジットレジンの劣化
などにより虫歯が再発します。
再発した虫歯は、さらに大きく削らなくてはなりません。
そこで、
①初期虫歯は削らない
②より丁寧な歯磨き
③プラークがつきにくい材料で歯を治す
④定期的に歯科医院を受診する
⑤フッ素を日常的に使う
⑥食生活の改善
などにより、虫歯の再発を予防しましょう。
虫歯になったことのない歯が虫歯になるわけですから、一度治療した歯はより丁寧にお手入れしないと虫歯が容易に再発します。
当院では、一度治した歯が少しでも長持ちするように、虫歯の再発予防に力を入れています。
もし、虫歯の再発が気になる方、虫歯を再発させたくない方は、当院にぜひお越しください。























