歯茎が腫れる理由とは
普段診療していると、「急に歯茎が腫れてきました。何が起きているんでしょうか?どうしたらよいでしょうか?」という質問を受けます。
歯茎が腫れて痛みがあるなどの症状が出た場合にどのような原因が考えられるのでしょうか?
そこで今回は歯茎が腫れた時に考えられる主な原因を紹介していきます。
歯周病に由来するもの
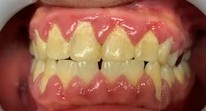
一つ目の原因に考えられるのは、「歯周病」です。
「歯周病」は治療を行なっていて、歯茎が腫れて出血する場合によく遭遇します。
ただ歯周病の症状でも段階があり、少しだけ歯茎が赤みを帯びているものから、歯を支えている骨が大きくなくなってしまう場合まで幅が広いです。
歯周病の怖いところは、初期の頃はあまり症状が出ない事が多いです。たまに歯磨きをすると出血をすることもあるかと思いますが、この段階において痛みは殆ど感じません。
症状が進行すると歯茎が腫れて歯を支える骨や繊維がなくなっていき、最終的に歯を喪失することになります。
最近でこそ注目されてきていますが、歯を失う原因としては虫歯よりも歯周病の割合が多い事が知られています。

いくら歯がしっかりしていても、支えが弱いとしっかりと咬むことが出来なくなります。
歯茎が腫れて歯科医院に来院した頃には、予想以上に歯周病が進行している事があります。そうなると、抜歯を選択させられてしまう場面は少なくありません。
歯周病は基本的に慢性的に炎症が歯の周囲に起こってしまう状態ですが、何らかの理由により急性化する場合があります。
特に体調を崩してしまったり、仕事で忙しく睡眠不足が続いたりし、免疫力が落ちると急変しやすいとも言われています。

その場合は痛みが強く、何もしなくても痛みがある場合や痛くて咬めないなど様々な症状が現れます。
強い症状が出た場合は消炎処置と言って、痛みを落ち着かせる処置をしたり、薬を服用していただき落ち着かせる事が多いです。
一旦症状が落ち着いたとしても、治っているわけではないので、その後は定期的に歯茎や骨の状態を精査する必要があります。歯石取りやクリーニングなど炎症を引き起こす原因を取り除く歯周病治療が必要です。
最近になって歯周病は全身疾患にも関与することが知られています。糖尿病や心疾患、脳血管疾患など口の中を通じて全身に悪影響を及ぼすこともあるので侮れません。
根尖に由来するもの
次に歯茎の腫れの原因に根尖に由来するものがあります。
根尖性の歯周炎というのは、歯根の先に炎症を持つまたは膿が溜まってしまった状態を指します。こうなると歯茎が腫れる事があります。
歯茎がその部位全体的に腫れる事もあれば、おできの様にプツッと腫れる時もあります。根の先が炎症を起こす原因はいくつかあり断定出来ませんが、どこからか細菌が入り込むとなります。
こうなってしまう歯は基本的に神経がある歯ではなく、神経が無い歯(神経をとった歯や転んでぶつけてしまった歯など)に多く出来やすいです。
基本的には歯茎が腫れても殆ど無症状の事が多く、咬むと違和感がある程度で強い痛みなどは出ることがありません。

しかし、歯周病の時と同じで何らかのきっかけで強い痛みが出る場合があります。痛みのため眠れない方も中にはいます。
この場合は、根の中の感染源を取り除く処置をする必要が出てきます。根の先に掃除する器具を到達させる事ができれば内圧が逃げて痛みが少し落ち着く事が多いです。
その時に膿が出てくれれば尚更圧が減弱します。根の治療の際は、被せ物が入っていればそれを取り除く必要も出てくる時があります。
薬のみの処方は強い炎症の時に効き目が弱く、痛みで大変ですが治療を受ける必要が多いです。また膿の範囲が広がり、原因の歯の周囲の歯茎全体が腫れる事もあります。
その場合は、麻酔をして外側から歯肉を切開して膿を出します。麻酔をする際は圧が高まっている部位の周囲に更に薬液を入れるので、麻酔の痛みが強く出ます。切開をして膿が沢山出てくれると、そこから比較的早く痛みが落ち着きます。
症状が落ち着いたとしても、根の中の感染源が取れているわけでは無いので治療は必要です。根の中を掃除する処置が必要になります。
その他に考えられるもの
その他にも歯茎が腫れる事があり、よく目にするのが破折です。
歯が割れてしまっている場合にも、割れている部位を通じて細菌が入り込み炎症を起こし、結果として、歯茎が腫れる事があります。
歯が割れる事は珍しいことではなく、ぶつけていなくても割れる事があります。


特に神経をとっている歯に起こりやすいです。今まで記述してきたものは治療がうまくいくと症状が落ち着く事がありますが、割れている歯の治療は非常に難しいです。
割れ方にもよりますが、抜歯になる事が少なくありません。
まとめ
歯茎が腫れている状態は歯茎や根の何処かに異常を起こしている場合が少なくありません。腫れていても痛みがない場合もありますが、前述した通り状態が悪いこともあります。痛みの有無と状態の深刻さは必ずしも一致しません。痛くないからと言って、放置しない事が望ましいです。治療で治る場合もあるので、早めの歯科受診をお勧めします。























